开云体育(kaiyun)官网
你的位置:开云体育(kaiyun)官网 > 真人棋牌 > kaiyun官方登录入口 里程碑式谈判! 安全逆转胎儿先天弱势, 柳叶刀公布新疗法
发布日期:2026-03-11 11:33 点击次数:119

*仅供医学专科东说念主士阅读参考
初度将活性干细胞运用于胎儿受损脊柱调治,谈判末端令东说念主昌盛。
撰文 | MSHK
脊柱裂属于先天性弱势,是最严重的神管束无理之一,给家庭和社会带来千里重的健康与经济包袱。尽管孕期叶酸补充等在意步伐已普通履行,但仍有无数患儿出死后头临毕生瘫痪、大小便功能梗阻、脑积水等严重并发症,需弥远多学科医疗搅扰。此前,胎儿期手术诞生虽能裁汰脑积水发生率、改善部分通顺功能,但多数患儿仍无法零丁行走。近日,发表于《柳叶刀》的首项东说念主体临床覆按(CuRe覆按)获取冲破性进展,证明胎盘开首间充质干细胞(PMSCs)连合胎儿手术调治脊髓脊膜膨出安全可行,为这一先天性疾病的调治开荒了新旅途。

窘境与探索:
传统率疗的局限与干细胞疗法的崛起
脊髓脊膜膨出是脊柱裂中最严重的类型,源于胚胎早期神管束闭合不全,导致脊髓和脊膜经脊柱缺损膨出,领会于羊水中。这种领会最终会导致下肢瘫痪、膀胱和肠说念功能梗阻、阿诺德-奇阿(Arnold-Chiari)II无理无理伴后脑疝等一系列严重末端。传统手术仅能收场机械性闭合,无法逆转已发生的脊髓损害,因此亟需兼具诞生与再生功能的立异性调治技能。
间充质干细胞的神经诞生后劲为科罚这一难题提供了目的。PMSCs凭借独到上风脱颖而出:动作胎儿源性细胞,其无致瘤性,且能分泌多种神斟酌养因子、抗炎因子和抗凋一火因子,同期具备免疫调理智力,可促进神经突起孕育、保护受损神经元。前期羊模子谈判已证明,PMSCs接种于细胞外基质后运用于胎儿期诞生,能显赫改善通顺功能、规复大小便当年功能,为开展东说念主体临床覆按奠定了坚实基础。
CuReTrial深度解读:
客服QQ:88888888
首项东说念主体谈判的盘算推算与关节发现
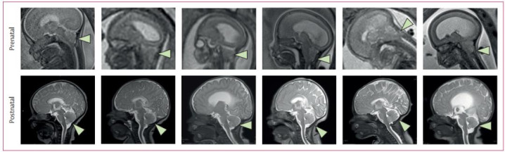
CuRe覆按是一项I期、初度东说念主体、单中心、单臂临床谈判,旨在评估胎盘开首间充质干细胞-细胞外基质复合物(PMSC-ECM)用于胎儿期脊髓脊膜膨出诞生的安全性和可行性。该谈判于2021年6月至2022年12月纳入6名妊妇,胎儿孕周介于24周+5天至25周+5天,脊髓脊膜膨出缺损上界位于T1至S1锥体节段,MRI傲气存在后脑疝,染色体核型当年。主要安全性结局包括评估脊髓脊膜膨出诞生部位的愈合情况,是否存在脑脊液漏、感染、畸形增生或肿瘤酿成。
■核心谈判末端
6例胎儿均得胜完成手术,无术中并发症,PMSC-ECM复合物均顺利运用于缺损部位,kaiyun官方登录入口证明了该疗法的技艺可行性。重生儿均通过剖宫产坐蓐,中位孕周为34周+5天(限制:33周+2天至36周+6天),1例因早产儿呼吸困顿轮廓征需插管调治,但总共婴儿出院时均无需家庭氧疗。
关节安全目的均达到预期:总共重生儿出身时诞生部位竣工,无脑脊液漏、感染或畸形组织增生;术后2周内MRI查验傲气,总共患儿的后脑疝均迷漫逆转,且无畸形组织增生或肿瘤酿成;出院前均不需要进行脑积水分流手术。适度2025年8月1日的随访数据傲气,无任何与干细胞相关的伤口并发症发生,进一步考证了疗法的安全性。

与MOMS覆按的历史数据比拟,本谈判中胎儿的基线特征(如手术孕周、病变水平散布)具有可比性,且未出现罕见安全风险,标明PMSC-ECM复合物与传统胎儿手术的兼容性精采,不会干扰原有调治的获益。
临床兴味与畴昔瞻望
CuRe覆按动作首项评估胎儿期干细胞疗法调治脊髓脊膜膨出的东说念主体谈判,其兴味远超单纯的安全性考证。该谈判初度证明,同种异体PMSCs运用于胎儿核心神经系统是安全的,科罚了弥远以来对于胎儿对异体干细胞耐受性的担忧,为胎儿期再生医学疗法的发展奠定了贫困基础。
现在,谈判团队已开动I/IIa期临床覆按,权谋纳入35名患者,将要点评估弥远安全性(随访至6岁)和初步疗效,包括通顺功能(选拔婴儿通顺阐明测试、Alberta婴儿通顺量表、Bayley婴儿发育量表、Peabody通顺发育量表、儿童功能零丁性评定量表及年纪与发育进度问卷等圭臬化器用)、大小便功能(通过肛门直肠测压和尿能源学查验评估)等关节目的。畴昔,跟着样本量扩大和随访时刻延迟,有望明确该疗法是否能进一步擢升患儿零丁行走率,减少毕生残疾的发生率。
此外,该谈判确立的胎儿期靶向生物调治平台,为其他先天性疾病的宫内搅扰提供了可模仿的花样。对于脊髓脊膜膨出这类出死后难以逆转的结构性弱势,宫内早期搅扰能收拢胎儿神经系统发育的关节窗口,收场“治未病”,这可能蜕变先天性疾病的调治范式,显赫裁汰公共残疾包袱。
小结:
参考文件:
[1]Farmer DL, Kumar P, Reynolds E, et al. Feasibility and safety of cellular therapy for in-utero repair of myelomeningocele (CuRe Trial): a first-in-human, phase 1, single-arm study. Lancet. 2026 Feb 28;407(10531):867-875. doi: 10.1016/S0140-6736(25)02466-3.
{jz:field.toptypename/}加入咱们吧!
*"医学界"努力所发表推行专科、可靠,但永诀推行的准确性作念出喜悦;请相关各方在选拔或以此动作决议依据时另行核查。

